Dr Ralph Torres787.789.6400  English
Inicio
Servicios
Artículos
English
Lo que debes saber sobre las resinas dentales

Lo que debes saber sobre las resinas dentales

En la actualidad, las resinas dentales han tomado mucha popularidad para la solución de problemas de salud o estéticos en tus dientes. Este es un material sintético muy utilizado en la odontología con el objetivo de restaurar cualquier pieza dental que se encuentre en mal estado. En efecto, una persona con una fractura o lesiones en sus piezas dentales puede optar por un procedimiento de este tipo.

Lo cierto es que, las resinas dentales ofrecen muchas ventajas ya que son ajustables a las necesidades específicas de cada paciente. En este artículo te aportamos más información de las resinas dentales y por qué es el material que debes elegir para tener dientes saludables.

¿Quieres una nueva sonrisa? Seguramente, este es el procedimiento odontológico más adecuado para ti.

Lo que debes saber sobre las resinas dentales

¿Por qué usar resinas dentales?

Las resinas dentales se pueden utilizar en cualquier cavidad dental debido a que, cuentan con varias finalidades. No obstante, para una buena retención del material es importante que el paciente tenga una buena estructura dentaria. Asimismo, se trata de un procedimiento que solamente puede realizar un dentista como el Dr. Ralph Torres.

Si hablamos desde el punto de vista cosmético, las resinas dentales son la mejor opción. ¿Por qué? Porque son eficaces para la solución de casos diferentes. Por ejemplo, si no te gusta la forma de tus dientes, este tipo de procedimiento proporciona un aspecto más agradable y natural.

De igual forma, se utilizan para cubrir manchas dentales, dientes fracturados o astillados y para disminuir el espacio que sea notable entre las piezas dentales. Asimismo, la resina sirve como material de relleno en caso de existir caries. Además, se utiliza luego de la extracción de un nervio dental como consecuencia de una enfermedad bucal.

Acabado y pulido de las resinas dentales

Una vez que se toma la decisión de un tratamiento dental como este, la fase final de la restauración es de gran importancia. Las resinas dentales requieren de un acabado para redefinir su anatomía y alisar la superficie de la restauración. De esta forma, se puede hacer una redefinición de los márgenes que quedan entre el esmalte y la resina para dar un aspecto increíble. El dentista elimina los restos de resina y alisa la superficie para evitar una futura acumulación de la placa bacteriana.

En cuanto al pulido, es un procedimiento que se lleva a cabo para concluir con una superficie lisa y brillante en la resina. Así, se logra mayor resistencia a las pigmentaciones y las restauraciones tendrán un acabado más natural. Al finalizar con un acabado exitoso, el paciente no debe preocuparse por líneas de fractura o por la diferencia de color entre las piezas dentales naturales y la resina.

¿Cómo preservar la vida de las resinas dentales?

Luego de la colocación de las resinas dentales, es importante seguir cada una de las recomendaciones dadas por el profesional en odontología. Su cuidado es obligatorio para tener unas resinas dentales en buen estado y proporcionar mayor durabilidad. Dependiendo del cuidado y de los hábitos alimenticios, las resinas dentales pueden durar entre 5 a 7 años aproximadamente.

Los pacientes con resinas dentales deben acudir regularmente al dentista y llevar a cabo una higiene oral completa. Así, se previene el deterioro de la resina y otros problemas bucales.

Cuando las resinas dentales son debidamente cuidadas, se puede disfrutar de sus beneficios:

¿Por qué la resina es el mejor material para restaurar las piezas dentales?

Para comenzar, este material de restauración es del color de tus dientes. Por lo tanto, es un material que se encuentra en ventaja en comparación con el utilizado para las amalgamas. En estos otros tipos de procedimientos dentales se emplea la plata convencional, y hay personas que lo eligen por ser de menor costo. Pero, ¿es el material más conveniente?

En primer lugar, al aplicar la amalgama se debe remover una gran parte del tejido dentinario. Esto hace que en muchas ocasiones se fracture el diente. También, pueden aparecer caries secundarias bajo la amalgama, que no se identificarán con una toma de rayos x. Lo cierto es que este tipo de procedimientos dentales no se ven estéticos. Esto se debe a su color plateado cuando es reciente o a su tono grisáceo o negro cuando se trata de un procedimiento antiguo.

En el caso de la resina dental, su material está conformado por una base de resina y un relleno conocido como el silice. Esto hace que este sea un tratamiento resistente al desgaste. Por tal motivo, las resinas dentales son utilizadas para tratamientos estéticos, así como también, para restauración o como material de relleno.


Arreglo de muela con resina

¿Cuáles son las ventajas de las resinas dentales?

Al tener un color muy similar al de los dientes, las resinas dentales son imperceptibles a la vista. Por lo tanto, cuenta con varias ventajas de salud y estética que mencionaremos a continuación:

Cuenta con buena capacidad de adherencia

Gracias a los materiales de calidad que se utilizan para las resinas dentales, se adhiere correctamente a las piezas dentales.

Mantiene la estética dental

Su color y textura es parecida a la de los dientes naturales. Es por ello que da la sensación de ser parte de las piezas dentales.

Cualquier persona las puede utilizar

Este tipo de tratamiento odontológico se puede aplicar a cualquier persona, tanto niños como jóvenes y adultos.

Sus materiales no incluyen componentes dañinos

Ninguno de los materiales utilizados para la elaboración de la resina contiene componentes dañinos. Gracias a ello, no causa problemas de salud en las personas que se animen a utilizarlas.

Cuentan con buena resistencia

Esta es una de las ventajas de las resinas dentales más importantes. La resina posee gran durabilidad, por lo que su resistencia al desgaste está garantizada. Esto hace que sea un tratamiento que cumple su función por muchos años y sin ningún tipo de inconvenientes.

dientes alargados con resina
restauracion con resina de diente negro
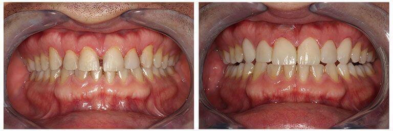
dientes emparejados con resina
restauracion con resina de diente partido
resina aplicada a los dientes frontales
dientes frontales mejorados con resina

Muestra una sonrisa saludable con las resinas dentales

Los especialistas de la odontología pueden dar vida a tus dientes con la resina dental. Este es un procedimiento poco notorio, y te da una nueva oportunidad para sonreír a donde quiera que vayas sin cohibiciones.

El dentista Ralph Torres cuenta un con equipo de profesionales para aplicar este tipo de procedimiento. Cumple con los altos estándares de la ADA y estudiará tu caso para restaurar las piezas dentales que sean necesarias.

Puedes confiar en nuestra clínica dental que acepta planes médicos y otros métodos de pago para que puedas realizar tu restauración dental. Nuestros procedimientos son bien exitosos porque trabajamos con materiales de calidad para que tus resinas dentales tengan durabilidad. Hoy mismo puedes comunicarte con nuestra clínica dental para una cita de evaluación y ofrecerte un presupuesto adaptado a tus necesidades.

clinica dental en la avenida esmeralda, guaynabo

Contacta nuestra oficina

Llámanos para una cita o envíanos un mensaje.


Dr. Ralph Torres Pérez, D.M.D.
Ave. Esmeralda A-1, Esq. Arpegio
Highland Gardens, Guaynabo, PR 00969


787.789.6400


Lunes a Viernes: 8 am a 5 pm
Sábados alternos: 8 am a 12 m

        
©2019 Dr. Ralph TorresDiseñado por Garcia Santiago